10 تا از بهترین دکتر لثه در تجریش❤️【سال1404】✅

لیست بهترین دکتر لثه در تجریش از دید وبسایت دندانپزشک با ما:
- دکتر سعید قریشی (نواب)
- دکتر رویا حامدی (خیابان شریعتی)
- دکتر ابوالفضل هاشم (خیابان یوسف آباد)
- دکتر علیرضا خدیوی (میرداماد)
- دکتر مهیار ماهوش محمدی (سعادت آباد)
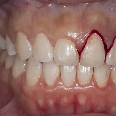
لثه (gums) پایه و اساس سلامت دندان و بدن است، اما با این حال بسیاری از افراد هنوز هم دچار مشکلات لثه میشوند؛ اما علت چیست؟ بیماریهای لثه مانند ژنژیویت (التهاب اولیه لثه) یا پریودنتیت (التهاب پیشرفته همراه با تخریب استخوان و بافت نگهدارنده دندان) معمولاً با علائمی چون خونریزی هنگام مسواکزدن، قرمزی و تورم لثه، بوی بد دهان و گاهی لق شدن دندانها بروز میکنند که حتما نیاز به ویزیت بهترین دکتر لثه در تجریش را دارند.
لیست 5تایی بهترین دکتر لثه در تجریش
تیم پشتیبانی سایت دندانپزشک با ما همواره در تلاش است تا شما بتوانید با خیالی آسوده سلامت جسمی خود را به دست بهترین پزشک متخصص لثه بسپارید.
| نام دندانپزشک | لوکیشن | نوبت دهی | مسیریابی |
|---|---|---|---|
| دکتر سعید قریشی | تهران، نواب | 02166381199 | مسیریابی |
| دکتر رویا حامدی | تهران، خیابان شریعتی | 02122253556 | مسیریابی |
| دکتر ابوالفضل هاشم | تهران، خیابان یوسف آباد | 02188555023 | مسیریابی |
| دکتر علیرضا خدیوی | تهران، میرداماد | 02122900298 | مسیریابی |
| دکتر مهیار ماهوش محمدی | تهران، سعادت آباد | 09907575303 | مسیریابی |
دکتر سعید قریشی
دکتر دندانپزشکدکتر سعید قریشی، دارنده رتبه اول بورد تخصصی لثه ایران و بورد تخصصی کانادا، یکی از برجستهترین متخصصان در درمان لثه به شمار میآیند. حوزه تخصصی ایشان شامل دیگر خدمات مانند ارتودنسی ثابت، متحرک، نامرئی، اینویزیلاین و درمانهای ویژه کودکان است.
- درمان لثه
- ارتودنسی متحرک
- ارتودنسی نامرئی
- اصلاح لبخند لثه ای
دکتر رویا حامدی
دکتر دندانپزشکدکتر رویا حامدی، متخصص لثه و ناهنجاریهای فک و صورت و دارنده فلوشیپ ارتوسرجری در تهران، با تخصص گستردهای در زمینه ایمپلنت، کشیدن دندان، پولیش، لمینت و روکش دندان فعالیت میکنند. تسلط ایشان بر درمانهای ترکیبی فک و صورت، امکان ارائه نتایج مطلوب حتی در موارد پیچیده را فراهم کرده است.
- درمان لثه
- ارتودنسی اینویزیلاین
- جراحی فلپ پریودنتال (لثه)
- درمان ریشه دندان
تهران، خیابان شریعتی، بالاتر از دوراهی قلهک، کوچه صدیق، پلاک 7، ساختمان پزشکان روزبه، طبقه 5، واحد 15
دکتر ابوالفضل هاشم
متخصص دندانپزشکدکتر ابوالفضل هاشم، دندانپزشک و متخصص لثه در تهران، با تجربه گسترده در درمان ناهنجاریهای دندانی شناخته میشوند. ایشان تمرکز ویژهای بر ارتودنسی کودکان دارند و با رویکردی دقیق و تخصصی، انتخاب بهموقع روش درمان را برای کوتاهتر و مؤثرتر کردن روند ارتودنسی در نظر میگیرند
- جراحی لثه
- ارتودنسی بزرگسالان
- ارتودنسی کودکان
- ترمیم دندان
دکتر علیرضا خدیوی
دکتر دندانپزشکدکتر علیرضا خدیوی، دندانپزشک و متخصص ارتودنسی با سابقهای درخشان در درمان ناهنجاریهای دندانی و لثه هستند. تخصص های دیگر ایشان شامل ارتودنسی ثابت، سرامیکی، متحرک، نامرئی و اینویزیلاین میباشد. انتخاب دقیق و متناسب روش درمانی توسط دکتر خدیوی، موجب دستیابی به نتایج مطلوب در زمانبندی کوتاهتر میشود.
- درمان ریشه
- درمان لثه
- ارتودنسی نامرئی
- پیوند لثه
دکتر مهیار ماهوش محمدی
متخصص دندانپزشکدکتر مهیار ماهوش محمدی، متخصص لثه و ناهنجاریهای فک و صورت، با فعالیت در دو مطب واقع در سعادتآباد و پاسداران، خدمات تخصصی ارتودنسی را به کودکان و بزرگسالان ارائه میدهد. تخصص ایشان شامل ارتودنسی ثابت، متحرک، شفاف و سرامیکی است که با دقت و توجه ویژه به جزئیات درمان همراه است.
- روکش دندان
- ارتودنسی اینویزیلاین
- درمان لثه
- بستن فاصله بین دندان
توصیه های مهم در انتخاب بهترین دکتر لثه در تجریش
بیماریهای لثه اگر بهدرستی توسط بهترین دکتر لثه در تجریش تشخیص داده نشوند یا درمان کامل و اصولی روی آنها انجام نشود، میتوانند بهسرعت پیشرفت کرده و حتی منجر به ازدسترفتن دندانها شوند البته جای نگرانی نیست؛ زیرا پزشکانی دیگر در حیطه تخصصی کاشت دندان یا ایمپلنت هستند که این مشکل را حل کردهاند. بااینحال هیچچیز بهتر از دندان طبیعی خود شما نمیشود.
توجه به سابقه کاری، رضایت بیماران قبلی، استفاده از تجهیزات مدرن و روشهای علمی روز دنیا از مهمترین معیارهای انتخاب دکتر لثه است. یک دکتر خوب باید علاوه بر معاینه دقیق، وقت کافی برای توضیح مراحل درمان به بیمار بگذارد و برنامهای اختصاصاً براری او طراحی کند تا بیماری دچار سردرگمی نشوند. مزایای مراجعه به این پزشک شامل موارد زیر میشود.
- تشخیص زودهنگام بیماریهای لثه قبل از اینکه مشکلات شدیدتر شوند.
- پیشگیری از عوارض جدی مثل تحلیل استخوان فک و از دست رفتن دندانها.
- طرح درمان اختصاصی بر اساس شرایط دهان و دندان هر فرد.
- بهبود سلامت کلی دهان و دندان و افزایش عمر دندانها.
- کاهش هزینههای درمانی در آینده با پیشگیری و درمان به موقع.
- افزایش زیبایی لبخند و اعتماد به نفس از طریق درمان لبخند لثه ای.

خدمات بهترین دکتر لثه در تجریش
خدمات دکتر لثه تنها به درمان بیماریهای لثه محدود نمیشود، بلکه نقش مهمی در زیبایی لبخند و لثه دارد. یکی از خدمات رایج او، اصلاح لبخند لثهای است؛ زمانی که هنگام خندیدن بخش زیادی از لثه نمایان میشود مطمئناً ظاهر نرمال و زیبایی را ایجاد نمیکند. این مشکل با روشهای مختلفی مانند جراحی زیبایی لثه، لیزردرمانی یا تغییر خط لثه برطرف میشود و باعث هماهنگی بیشتر بین لثه و دندانها خواهد شد.
از دیگر خدمات تخصصی بهترین دکتر لثه در تجریش میتوان به پیوند لثه برای پوشاندن ریشههای نمایانشدن، جراحی افزایش طول تاج دندان، درمان تحلیل لثه و بازسازی بافتهای نگهدارنده دندان اشاره کرد. او همچنین با استفاده از روشهای مدرن مانند لیزر و تکنیکهای کم تهاجمی نیز باعث شده این درمانها با کمترین درد ممکن و دوره نقاهت کوتاهتر انجام شوند.
علائم و نشانه های بیماری های لثه:
| عقبنشینی لثه | کوتاهتر شدن لثه و نمایان شدن ریشه دندانها |
| حساسیت دندانی | درد یا ناراحتی هنگام مصرف خوراکیهای سرد و گرم |
| تغییر رنگ لثه | تیرهتر یا براق شدن غیرعادی لثهها |
| تغییر در نحوه قرارگیری دندانها | جابجایی یا فاصله افتادن بین دندانها به علت تحلیل بافت نگهدارنده |
تعرفه خدمات بهترین دکتر لثه در تجریش
مسلماً درمانهای پیچیدهتری همچون پریودنتیت پیشرفته، پیوند لثه، جراحی بازسازی استخوان یا اصلاح لبخند لثهای با لیزر زمان بیشتری نیاز دارد و به همین دلیل دستمزد بالاتری هم برایش در نظر گرفته شده است. این درمانها به تخصص و تجهیزات پیشرفته نیاز دارند و هرچند گرانتر هستند، اما نتایج بلندمدت و اثرگذار بر سلامت دهان و دندان را تضمین میکنند و ارزش بازگرداندن سلامتی و شادی بیماران را دارند.
در مقابل، خدمات سادهتر مانند جرمگیری معمولی، تمیزکردن عمقی لثه یا مشاوره و معاینه هزینه کمتری دارند؛ زیرا بهسرعت انجام میشوند، بااینحال اگر بیمار مشکلات لثهای جدی داشته باشد، این اقدامات تنها بخشی از نیاز درمانی ابتدایی او را پوشش میدهند. توجه داشته باشید که بدون درمان بهموقع، بیماری لثه میتواند به عفونت شدید، تحلیل استخوان فک، لق شدن یا ازدسترفتن دندانها منجر شود.

جمع بندی
با تمام اینها رعایت مراقبتهای ساده روزانه مانند مسواکزدن منظم، استفاده از نخ دندان، مصرف غذای سالم و معاینات دورهای بهترین دکتر لثه در تجریش میتواند از بسیاری از آسیبهای لثه پیشگیری کند و حتی نیاز به درمانهای پرهزینه و دشوار دیگر نداشته باشد. این اقدامات به کاهش تجمع پلاک، التهاب و خونریزی لثه کمک کرده و سلامت دندانها را حفظ میکنند.
از همراهی و توجه شما به این مقاله صمیمانه تشکر میکنیم. با دنبالکردن مطالب ما در سایت دندانپزشک با ما، همیشه میتوانید از تازهترین اطلاعات دندانپزشکی بهرهمند شوید.
خیر، بیماری لثه به خودی خود مسری نیستند. با این وجود، ابتلا به بیماری لثه به واکنش سیستم ایمنی فرد به این باکتری ها بستگی دارد.
در بیماریهای پریودنتال، پس از درمان موفق، بیمار باید وارد فاز نگهدارنده شود که شامل رعایت بهداشت دهان و دندان و مراجعه منظم هر 3 تا 4 ماه یکبار به دندانپزشک برای چکاپ و تمیزکاری حرفهای است.
بله، این بو ناشی از ترکیبات گوگردی است که توسط باکتری های عامل عفونت در پاکتهای لثه تولید میشود.
بله، استعداد ژنتیکی میتواند احتمال ابتلا به بیماریهای لثه را افزایش دهد، اما رعایت بهداشت دهان و دندان تا حد زیادی از آن پیشگیری میکند.
خیر، کودکان و نوجوانان نیز ممکن است به مشکلات لثه مبتلا شوند، هرچند شیوع آن در بزرگسالان بیشتر است.
بله، سیگار باعث کاهش مقاومت لثهها در برابر عفونت و کندی روند درمان میشود.



