10 تا از بهترین دکتر کامپوزیت در شمال تهران【سال1405】

لیست بهترین دکتر کامپوزیت در شمال تهران از نظر سایت دندانپزشک با ما:
- دکتر کیهان قدیمی (بلوار دریا)
- دکتر سروش شجاعی (چهارراه سرو)
- دکتر محمد نیکزاد (خیابان شانزدهم)
- دکتر مهدی کریمی (خیابان سرو غربی)
- دکتر سمیرا فرنیا (میدان کاج)
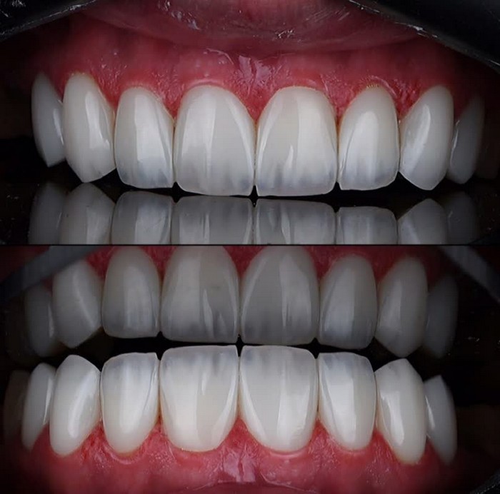
کامپوزیت دندان یکی از پرکاربردترین روشهای زیبایی در دندانپزشکی مدرن است که بیشتر به زیبایی اهمیت میدهد. این روش با اصلاح طرح لبخند و ترمیم دندانها یا سفیدکردن آنها طرفداران زیادی را به خود جذب کرده است. بعد از مراحل آمادهسازی سطح دندان، انتخاب رنگ مناسب و دلخواه بیمار، قراردادن مواد کامپوزیتی لایهبهلایه و در نهایت پولیش و صیقل نهایی انجام میشود. توصیه میکنیم با مطالعه این مطلب بیشتر با بهترین دکتر کامپوزیت در شمال تهران آشنا شوید.
لیست 5تایی بهترین دکتر کامپوزیت در شمال تهران
انتخاب متخصص مناسب کامپوزیت، قدم اول برای درمان موفق و ایمن است. تیم مشاوران سایت دندانپزشک با ما با تحقیق و جمعآوری اطلاعات از منابع معتبر، لیستی از جراحان حرفهای و مورد اعتماد آماده را کردهاند.
| نام پزشک / کلینیک | محدوده | شماره تماس | مسیریابی |
|---|---|---|---|
| دکتر کیهان قدیمی | تهران، بلوار دریا | 09352526224 | مسیریابی |
| دکتر سروش شجاعی | تهران، چهارراه سرو | 02126742157 | مسیریابی |
| دکتر محمد نیکزاد | تهران، خیابان شانزدهم و هجدهم | 02122081902 | مسیریابی |
| دکتر مهدی کریمی | تهران، خیابان سرو غربی | 02122080090 | مسیریابی |
| دکتر سمیرا فرنیا | تهران، میدان کاج | 09015754948 | مسیریابی |
دکتر کیهان قدیمی
متخصص کامپوزیتدکتر کیهان قدیمی با 26 سال سابقه، یکی از باتجربه ترین دندانپزشکان در زمینه های زیبایی هستند. ایشان دارای فلوشیپ های تخصصی از آلمان و فیلیپین می باشند که باعث شده درمان ها را با دقت و تسلط بالاتر انجام دهند. خیلی از مراجعه کنندگان از نتیجه طبیعی و دقت ایشان در جزئیات راضی هستند.
- لمینت دندان
- کامپوزیت دندان
- روکش دندان
- کشیدن دندان
دکتر سروش شجاعی
متخصص کامپوزیتدکتر سروش شجاعی با 8 سال سابقه، به عنوان دندانپزشکی دقیق و منظم شناخته می شوند. درمان های زیبایی را طوری انجام می دهند که ظاهر دندان ها طبیعی و هماهنگ با صورت باشد. خیلی از بیماران از آرامش و اطمینانی که حین کار به آن ها می دهد، رضایت دارند. ایشان همیشه قبل از شروع، وقت می گذارد تا خواسته بیمار را درست متوجه شود و بر اساس آن کار کند. شماره نظام پزشکی دکتر سروش شجاعی 178089 است.
- ترمیم دندان
- عصب کشی
- کامپوزیت دندان
- لمینت دندان
دکتر محمد نیکزاد
متخصص کامپوزیتدکتر محمد نیکزاد با 29 سال سابقه، تجربه ای بالا در درمان دندان ها دارد. ایشان همیشه سعی می کنند لبخندی طبیعی و زیبا برای بیمارانش بسازد. بیماران ایشان از دقت ایشان رضایت زیادی دارند. کار دکتر نیکزاد ساده و دقیق است، بدون هیچ تغییر مصنوعی. ایشان به همه جزئیات کوچک توجه می کنند تا نتیجه بهترین باشد.
- کامپوزیت دندان
- لمینت دندان
- روکش دندان
- درمان ریش
دکتر مهدی کریمی
متخصص کامپوزیتدکتر مهدی کریمی با 15 سال سابقه در درمان های زیبایی و دریافت چندین فلوشیپ تخصصی، از جمله زیبایی از دانشگاه جنووا، چهره ای شناخته شده در این حوزه هستند. تسلط ایشان بر تکنیک های نوین لیزر و ایمپلنت باعث شده نتیجه درمان ها دقیق، ظریف و ماندگار باشد. ترکیب دانش و تجربه، سبک کاری اش را از دیگران متمایز کرده است.
- ایمپلنت دندان کامپوزیت دندان
- لمینت دندان
- روکش دندان
- بلیچینگ
تهران، خیابان سرو غربی. خیابان بخشایش. پایینتر از بیمارستان عرفان. ساختمان پزشکان افتخار. پلاک 56. طبقه 4. واحد 402
دکتر سمیرا فرنیا
متخصص کامپوزیتدکتر سمیرا فرنیا با تخصص در ترمیمی و زیبایی دندان و بیش از 12 سال تجربه ، نگاه دقیقی به هماهنگی فرم، رنگ و جزئیات دارند. داشتن بورد تخصصی، مهارت ایشان را در طراحی لبخندهای دقیق و طبیعی تقویت کرده است. ایشان به جای ایجاد تغییرات مصنوعی، روی اصلاحات ظریف و متناسب با چهره تمرکز می کنند. برخورد حرفه ای و آرامش در روند درمان، از ویژگی هایی است که بیمارانش به آن اشاره می کنند.
- لمینت دندان
- روکش دندان
- کامپوزیت دندان
- عصب کشی
نکات کلیدی در انتخاب بهترین دکتر کامپوزیت در شمال تهران
از مهمترین دلایل پرطرفدار شدن کامپوزیت میتوان به رفع تغییر رنگ و لکهای سطحی دندان، پر کردن شکستگیها و لبپریدگیها، بستن فاصله بین دندانها، اصلاح نامرتبیهای جزئی و ایجاد هماهنگی در فرم و سایز دندانها آن هم همزمان اشاره کرد. این روش علاوه بر زیبایی، با حداقل تراش دندان انجام میشود و از این نظر هم بسیار کمعوارض است. در ادامه به مشخصههای بهترین دکتر کامپوزیت در تجریش و شمال تهران توجه کنید.
- مدرک معتبر و تخصص کافی: با آشنایی علمی کامل با اصول ترمیمی و زیبایی و داشتن بیماران بسیار با انواع مشکلات دندانی، می تواند بهترین نتایج را برای بیماران رقم بزند.
- تجربه عملی بالا: انجام نمونههای متعدد و موفق در زمینه اصلاح طرح لبخند و مشکل شما که این با بررسی کامنتها و نظرات مراجعه کنندگان قابل مشاهده است.
- مهارت در انتخاب رنگ و فرم: توانایی هماهنگسازی کامپوزیت با رنگ طبیعی دندانها و تناسب صورت.
- استفاده از مواد مرغوب: بهرهگیری از کامپوزیتهای باکیفیت و ماندگار جهت جلوگیری از تغییر رنگ و لبپریدگی.
- بهداشت و استریل کامل: رعایت اصول ایمنی و بهداشتی برای اطمینان از سلامت بیمار.
- مشاوره و ارتباط مؤثر: توضیح کامل مراحل درمان، هزینهها و مراقبتهای بعد از کامپوزیت برای ایجاد اعتماد و آرامش در بیمار.

خدمات تخصصی بهترین دکتر کامپوزیت در شمال تهران
کامپوزیت دندان تنها روشی برای زیباسازی لبخند نیست، بلکه میتواند بسیاری از مشکلات و بیماریهای دندانی را نیز درمان کند. بهترین دکتر کامپوزیت در شمال تهران میتواند با بهره از دانش تخصصیای که سالها برای آن زحمت کشیده است و با تجهیزات پیشرفته دندانپزشکی، نتایج را دقیقاً همانگونه که بیمار انتظار دارد؛ ایجاد کند.
یکی از شایعترین دلایل محبوبیت این روش در میان مردم، ترمیم پوسیدگیهای سطحی و متوسط است که با پرکردن دندان به کمک کامپوزیت، علاوه بر بازگرداندن سلامت جسمی، ظاهر طبیعی نیز به دندان داده میشود. ترکها و شکستگیهای جزئی دندان و حتی رنگ زرد دندانها نیز با این روش به طور کامل پوشانده شده و استحکام دندان افزایش مییابد.
مراقبتهای بعد از مراجعه به بهترین دکتر کامپوزیت در شمال تهران:
| رعایت بهداشت دهان و دندان | مسواک زدن 2 بار در روز با خمیر دندان غیرساینده و استفاده از نخ دندان برای جلوگیری از پوسیدگی |
| پرهیز از خوردن مواد سفت و سخت | اجتناب از جویدن یخ، آجیل خیلی سفت و خوراکیهای چسبنده که ممکن است باعث شکستگی شود. |
| ممنوعیت مصرف مواد رنگی | کاهش مصرف قهوه، چای، نوشابههای رنگی و مواد غذایی با رنگدانه های زیاد |
| مراجعات دورهای به دندانپزشک | چکاپهای منظم هر 6 تا 12 ماه یکبار برای بررسی سلامت کامپوزیت، صیقل مجدد و ترمیمهای جزئی |
هزینه خدمات بهترین دکتر کامپوزیت در شمال تهران
بسیاری از کلینیکهای دندانپزشکی برای بیمارانی که نیازمند به درمان های زیادی هستند، شرایط کمک مالی یا اقساط ویژه را ارائه میدهند؛ یعنی بیماران می توانند طی یک مدت معین هزینه خدمات را کم کم پرداخت کنند تا پرداخت هزینهها برای بیماران آسانتر شود. این برنامهها به افراد امکان میدهد بدون فشار مالی، درمان خود را آغاز کنند و از از این خدمات لذت ببرند. عوامل افزایش هزینه کامپوزیت:
- تعداد دندانها: هرچه تعداد دندانهایی که نیاز به ترمیم دارند بیشتر باشد، هزینه کل درمان افزایش مییابد.
- نوع و کیفیت مواد مصرفی: استفاده از برندهای معتبر خارجی و کامپوزیتهای با دوام و طبیعیتر، قیمت نهایی را بالا میبرد.
- پیچیدگی اصلاح طرح لبخند: در مواردی که نیاز به تغییر فرم، طول یا زاویه دندانها باشد، زمان و مهارت بیشتری لازم است و هزینه هم متقابلا افزایش مییابد.
- مراحل درمان اضافی: در صورت نیاز به آمادهسازی، ترمیمهای قبلی یا درمانهای جانبی مانند بلیچینگ، هزینهها بیشتر خواهد شد.
- شهرت و تخصص دندانپزشک: دندانپزشکان متخصص و مشهوری که همواره بیماران در صف انتظار آنها به سر میبرند؛ زیرا نتایج طبیعی و ماندگارتری ارائه میدهند، معمولاً دستمزد بالاتری هم دارند.

سخن پایانی
همانطور که گفتیم؛ بهترین دکتر کامپوزیت در شمال تهران فقط به بازگرداندن سلامت دندانهای آسیبدیده کمک نمیکند، بلکه با اصلاح رنگ، فرم و فاصله بین دندانها، لبخندی زیبا و به دنبال آن اعتمادبهنفس زیادی را ایجاد میکند. از مزایای کامپوزیت میتوان بهسرعت انجام درمان، حداقل تراش دندان، مقرونبهصرفه بودن نسبت به روشهای دیگر و امکان اصلاح مشکلات جزئی بسیار بدون جراحی اشاره کرد.
سپاس فراوان از اینکه مطالب سایت دندانپزشک با ما را دنبال میکنید. تمام سعی خود را میکنیم که مطالب مفیدی را درباره درمانهای دندانپزشکی ارائه دهیم.
کامپوزیت ونیر دندان مانند دندان طبیعی به مراقبت و نگهداری بسیاری احتیاج دارد . در حالی که در طول سه روز مسواک زده شود و از نخ دندان استفاده شود به هیچ عنوان دهان بوی بدی به خود نمی گیرد .
اگر شرایط ایده آل باشد؛ می توان کامپوزیت انجام داد در غیر این صورت می بایست روکش دندان ایمپلنت شده تعویض شود.
همان طور که مشخص است؛ پس از کامپوزیت دندان موقعیت لب رویت می شود. در نتیجه توصیه می شود؛ پس از درمان جراحی بینی، کامپوزیت را انجام دهید.



