10 تا از بهترین دکتر ارتودنسی در فرمانیه【سال1405】

لیست بهترین دکتر ارتودنسی در فرمانیه از دید دندانپزشک با ما:
- دکتر حمیدرضا عباسی (جنب بیمارستان فرمانیه)
- دکتر مهران امینی (چهارراه فرمانیه)
- دکتر پریسا فکور (چهارراه فرمانیه)
- دکتر زهرا زینتی (سلیمانی غربی)
- دکتر بهادر درانی (چهارراه فرمانیه)
ارتودنسی دندان یکی از مهمترین اعمال دندانپزشکی است که نقش کلیدی در سلامت دهان و زیبایی لبخند دارد و میتواند مشکلاتی مانند نامرتبی دندانها و ناهنجاریهای فک را اصلاح کند. انتخاب بهترین دکتر ارتودنسی در فرمانیه، کیفیت درمان، سرعت بهبود و نتیجه را تضمین میکند و مانع از بروز مشکلات بعدی میشود. به همین دلیل، قصد داریم بهترین متخصصان ارتودنسی را معرفی کنیم تا مسیر رسیدن به لبخندی سالم و زیبا برای شما آسانتر شود.
لیست بهترین دکتر ارتودنسی در فرمانیه
انتخاب دکتر ارتودنسی مجرب و متخصص، تضمینکننده درمان مؤثر، ایمن و دستیابی به لبخندی سالم و مرتب است. در ادامه بهترین متخصصان ارتودنسی در فرمانیه تهران را به شما معرفی میکنیم:
| نام دندانپزشک | آدرس | مسیریابی |
|---|---|---|
| دکتر حمیدرضا عباسی | جنب بیمارستان فرمانیه | مسیریابی |
| دکتر مهران امینی | چهارراه فرمانیه | مسیریابی |
| دکتر پریسا فکور | چهارراه فرمانیه | مسیریابی |
| دکتر زهرا زینتی | سلیمانی غربی | مسیریابی |
| دکتر بهادر درانی | چهارراه فرمانیه | مسیریابی |
دکتر حمیدرضا عباسی
دکتر دندانپزشکدکتر حمیدرضا عباسی با تخصص در اصلاح نامرتبی دندانها و مرتبسازی لبخند تجربهای حرفهای و مطمئن در ارتودنسی دندان ارائه میدهد و دقت بالا در جزئیات، شناخت تناسب چهره و استفاده از تجهیزات پیشرفته کیفیت درمانهای ایشان را تضمین میکند و با انتخاب دکتر عباسی، لبخندی سالم، زیبا و ماندگار خواهید داشت.
- لمینت دندان
- کامپوزیت
- عصب کشی
- ارتودنسی
دکتر مهران امینی
دکتر دندانپزشکدکتر مهران امینی با 28 سال تجربه در دندانپزشکی، یکی از چهرههای معتبر در زمینه زیبایی دندان بهشمار میروند و عضویت ایشان در انجمن ایمپلنتولوژی اروپا و تیم بینالمللی ICOI نشاندهنده دانش بهروز و رویکرد علمی در درمانهای پیشرفته است و دکتر امینی با تخصص و مهارت خود، لبخندهای بیماران را به زندگی دوباره میبخشند، یکی از خدمات ایشان ارتودنسی است.
- لمینت دندان
- کامپوزیت
- بلیچینگ
- ارتودنسی
تهران، چهارراه فرمانیه، جنب بیمارستان فرمانیه، ساختمان پالاتزو، طبقه دوم، واحد 7
دکتر پریسا فکور
دکتر دندانپزشکدکتر پریسا فکور در زمینه زیبایی دندان بهطور تخصصی فعالیت میکنند و درمانهای ایشان معمولاً به لبخندی مرتب و متناسب با چهره هر فرد منتهی میشود و رویکرد دقیق و شخصیسازی درمانها از ویژگیهای برجسته خدمات دکتر فکور است، یکی از خدمات ایشان ارتودنسی است.
- لمینت دندان
- کامپوزیت
- روکش دندان
- ارتودنسی
تهران، چهارراه فرمانیه، نارنجستان هفتم، جنب برج آسمان، پلاک 21، طبقه 4، واحد 14
دکتر زهرا زینتی
دکتر دندانپزشکدکتر زهرا زینتی، دندانپزشک در منطقه فرمانیه تهران، تجربه بالایی در انجام ایمپلنت با پیوند استخوان، روکشهای زیرکونیوم و درمان اختلالات فک دارند و ایشان همچنین به درمان مشکلات دهان و مراقبتهای دندانی کودکان میپردازند و با بهرهگیری از روشهای پیشرفته و تکنولوژیهای نوین، دکتر زینتی درمانهایی دقیق و موثر ارائه میدهند، یکی از خدمات ایشان ارتودنسی است.
- ایمپلنت با پیوند استخوان
- جرم گیری دندان
- پرکردن دندان شیری
- ارتودنسی
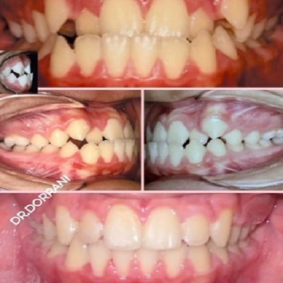
دکتر بهادر درانی
متخصص ارتودنسی و ناهنجاریهای فک و صورتدکتر بهادر درانی متخصص ارتودنسی با تجربه و مهارت بالا است و درمانهای ارتودنسی را بهصورت دقیق و حرفهای انجام میدهد. وی با ارائه برنامههای شخصیسازیشده، لبخندی مرتب و سالم برای بیماران خود خلق میکند. انتخاب دکتر درانی، تضمینی برای درمان ایمن، مؤثر و رضایتبخش است.
- ارتودنسی
- درمان ناهنجاریهای فک و صورت
- ترمیم دندان
- پر کردن دندان
تهران، چهارراه فرمانیه (ضلع شمالی)، نبش خیابان بوستان، ساختمان پزشکان نور، طبقه اول واحد 8
معیارهای انتخاب بهترین دکتر ارتودنسی در فرمانیه
یافتن بهترین دکتر ارتودنسی در تهران نقش مهمی در نتیجه درمان و سلامت دهان و دندان دارد و ملزم به توجه به توجه به چندین نکته کلیدی است. معیار مهم اول، مهارت پزشک است؛ دکتری که آموزشهای لازم در زمینه ارتودنسی دیده و سالها سابقه موفق در درمانهای مختلف دارد، احتمال رسیدن به نتایج مطلوب را افزایش میدهد. مشاهده تجربه سایرین و میزان رضایت آنها میتواند دید بهتری از مهارت و دقت پزشک ارائه دهد.
دانش بهروز و استفاده از تکنولوژیهای جدید نیز از اهمیت زیادی برخوردار است، زیرا روشهای نوین ارتودنسی، درمان سریعتر، دقیقتر و راحتتری ارائه میکنند. علاوه بر این، توانایی ارائه مشاوره دقیق و شفاف درباره فرایند درمان، مدت زمان، هزینه و مراقبتهای بعدی، نشانهای از حرفهای بودن پزشک است. نکته مهم دیگر، توجه به نیازها و سلیقه مراجعان است، بهطوریکه برنامه درمانی مطابق با شرایط فرد طراحی شود.

شرح وظایف تخصصی بهترین دکتر ارتودنسی در فرمانیه
انتخاب دکتر ارتودنسی مجرب و متخصص، نه تنها بر زیبایی لبخند بلکه بر سلامت کلی دهان و دندان تأثیر مستقیم دارد. بهترین دندانپزشک در فرمانیه، وظایف متعددی دارد که اجرای دقیق هر یک، موفقیت درمان را تضمین میکند. در ادامه فهرستی از مهمترین وظایف تخصصی این دندانپزشکان ارائه شده است:
- بررسی و ارزیابی دقیق وضعیت دندانها، فک و ساختار صورت فرد
- تشخیص ناهنجاریها و مشکلات ارتودنسی مانند نامرتبی دندانها و اوربایت
- طراحی برنامه درمانی شخصی و مطابق با شرایط و نیازهای فرد
- انتخاب روشهای مناسب درمان، شامل بریسها، الاینرهای شفاف
- کنترل و نظارت بر پیشرفت درمان در جلسات منظم
- ارائه مشاوره درباره بهداشت دهان و مراقبتهای قبل و بعد از درمان
برخی از خدمات بهترین متخصصان ارتودنسی:
| معاینه و ارزیابی اولیه | بررسی وضعیت دندانها، فک و تشخیص ناهنجاریها |
| طراحی برنامه درمانی شخصی | تعیین روشهای مناسب ارتودنسی و زمانبندی جلسات |
| نصب و تنظیم تجهیزات | شامل بریسها، الاینرهای شفاف و سایر وسایل |
| کنترل و پیگیری درمان | نظارت بر پیشرفت درمان و مشاوره بهداشت دهان |
هزینه خدمات بهترین دکتر ارتودنسی در فرمانیه
تعرفه خدمات بهترین متخصصان ارتودنسی بسته به چندین عامل متفاوت است و قبل از شروع درمان، آگاهی از این هزینهها برای برنامهریزی مالی ضرورت دارد. عواملی مانند شدت نامرتبی دندانها، نوع ناهنجاری فک، تعداد دندانهای تحت درمان و روش انتخابی، مستقیماً بر میزان هزینه اثر میگذارند. همچنین استفاده از تجهیزات پیشرفته و تکنولوژیهای جدید، مانند بریسهای شفاف یا الاینرها، میتواند قیمت درمان را افزایش دهد.
مدت زمان درمان و تعداد جلسات لازم نیز در تعیین قیمت نقش دارند، زیرا طولانیتر بودن درمان نیازمند پیگیریهای بیشتر است. بهترین دکتر ارتودنسی با ارائه مشاوره شفاف و برآورد دقیق هزینهها، به افراد امکان میدهد تصمیمی آگاهانه بگیرند و از هرگونه هزینه پنهان جلوگیری شود.

کلام آخر
انتخاب دکتر ارتودنسی مجرب، تأثیری مستقیم بر موفقیت درمان و سلامت بلندمدت دهان و دندان دارد. بهترین دکتر ارتودنسی در فرمانیه میتواند نامرتبی دندانها و ناهنجاریهای فک را بهطور دقیق تشخیص داده و درمانی ایمن و مؤثر ارائه دهد.
سپاسگزاریم که با ما همراه بودید. برای پرسشهای بیشتر یا به اشتراک گذاشتن نظر و تجربه خود، میتوانید از طریق بخش دیدگاههای سایت با تیم دندانپزشک با ما در ارتباط باشید.
مراقبتهای ویژه شامل رعایت بهداشت دقیق دهان و دندان، مسواک زدن منظم، استفاده از نخ دندان و پیروی از توصیههای پزشک در طول درمان است.
بهترین زمان بسته به نوع مشکل متفاوت است؛ بسیاری از کودکان بین 7 تا 14 سال و بزرگسالان در هر سنی میتوانند ارتودنسی انجام دهند.
درمان ارتودنسی معمولاً دردناک نیست، اما ممکن است در شروع درمان یا پس از تنظیم بریسها کمی ناراحتی یا حساسیت خفیف در دندانها و لثه احساس شود.
برای پیدا کردن بهترین دکتر، بهتره از تجربیات کسانی که قبلاً رفتهاند استفاده کنید. نظرات بیمارای قبلی و میزان تخصص پزشک میتونه کمکتون کنه.
هزینه درمان بستگی به نوع درمان و روشهایی که استفاده میشه داره. البته اگر از تجهیزات پیشرفته مثل بریسهای شفاف استفاده بشه، ممکنه هزینه بیشتر بشه، ولی نتیجهاش ارزشش رو داره.
برای گرفتن مشاوره از دکتر ارتودنسی، میتوانید از طریق تماس تلفنی، مراجعه حضوری یا حتی وبسایت دکتر وقت مشاوره بگیرید تا اطلاعات دقیق و برنامه درمانی متناسب با شرایط شما ارائه شود.



