10 تا از بهترین دکتر ارتودنسی در شمال تهران⚡【سال1405】❤️

لیست بهترین دکتر ارتودنسی در شمال تهران از دیدگاه سایت دندانپزشک با ما:
- دکتر طناز نقلاچی (پاسداران)
- دکتر معصومه اسماعیلی(سرو غربی)
- دکتر سمیه مهرابی کوشکی ( میدان کاج)
- دکتر احسان ابوئی مهریز (بلوار دریا)
- دکتر شیوا توکل دوانی (سرو غربی)
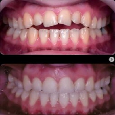
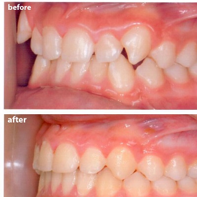
ارتودنسی (orthodontics) یک پروسه درمانی طولانیمدت است که بهمرور سبب میشود تا دندانها بهجای اصلی خود بازگشته و ردیف شوند. بههمریختگی دندانها فقط زیبایی آنها را تحتتأثیر قرار نمیدهد؛ بلکه سبب اختلالات تکلم در صحبتکردن و خوردن نیز میشود. در این مطلب به شما در انتخاب بهترین دکتر ارتودنسی در شمال تهران کمک خواهیم کرد.
فهرست معرفی بهترین دکتر ارتودنسی در شمال تهران
رسیدن به بهترین و ماندگارترین نتایج در گروی انتخاب درست متخصص است. با نگاهی به جدول زیر که توسط مشاوران سایت دندانپزشک با ما تهیه شده است؛ میتوانید انتخابی درست داشته باشید.
| نام پزشک/ مرکز | آدرس | شماره تماس |
|---|---|---|
| دکتر طناز نقلاچی | تهران، پاسداران، گل نبی | 02126720061 |
| دکتر معصومه اسماعیلی | تهران، سرو غربی | 09105381647 |
| دکتر سمیه مهرابی کوشکی | تهران، بالاتر از میدان کاج | 09373360734 |
| دکتر احسان ابوئی مهریزی | تهران، تقاطع سعادت آباد و بلوار دریا | 02188376343 |
| دکتر شیوا توکل دوانی | تهران، سرو غربی | 02126746815 |
دکتر طناز نقلاچی
دکتر طناز نقلاچی، متخصص دندانپزشکی ارتودنسی، با دقت و مهارت درمانهای تخصصی دندان را ارائه میدهد. خدماتی مانند عصبکشی، کشیدن دندان، جرمگیری و ارتودنسی در محیطی دوستانه و آرام انجام شده و حفظ راحتی و آرامش بیمار در طول درمان برای ایشان اولویت است.
- عصب کشی
- کشیدن دندان
- جرم گیری دندان
- ارتودنسی کودکان
تهران، پاسداران، گل نبی، ناطق نوری، نبش بن بست نادر، ساختمان پزشکان نگین زمرد، طبقه 5، واحد 17
دکتر معصومه اسماعیلی
دکتر معصومه اسماعیلی یکی از بهترین دندانپزشکان و متخصصین ارتودنسی در شمال تهران است. ایشان با استفاده از جدیدترین تکنیکها و متدهای روز دنیا، درمانهای ارتودنسی را به صورت شخصیسازیشده ارائه میدهند.
- ارتودنسی ثابت
- ارتودنسی نامرئی
- ارتودنسی برای کودکان
- ارتودنسی ترکیبی
تهران، ابتدای سرو غربی، جنب مدرسه حکمت ، پلاک 7 ،طبقه 5
دکتر سمیه مهرابی کوشکی
دکتر سمیه مهرابی کوشکی یکی از بهترین متخصصین ارتودنسی در تهران است. ایشان با بهرهگیری از دانش روز و تکنیکهای نوین در زمینه درمانهای ارتودنسی، به بیماران کمک میکنند تا مشکلات دندانی و فکی خود را به طور موثر حل کنند.
- مشاوره و درمان پیشگیرانه
- فاصلهگذاری دندانها
- تصحیح مشکلات بایت
- ارتودنسی برای بزرگسالان
سعادت آباد، بالاتر از میدان کاج، کوچه 9، پلاک 24، طبقه 1
دکتر احسان ابوئی مهریزی
دکتر احسان ابوئی مهریزی یکی از متخصصین برجسته ارتودنسی در تهران است. ایشان با داشتن سالها تجربه و تخصص در زمینه درمانهای ارتودنسی، خدماتی متنوع و حرفهای به بیماران خود ارائه میدهند.
- ارتودنسی ثابت و متحرک
- ارتودنسی نامرئی
- ارتودنسی برای کودکان و بزرگسالان
- مشاوره و تشخیص مشکلات پیشرفته فکی
تهران، بلوار دریا، نبش توحید چهارم، پلاک 4 طبقه اول
دکتر شیوا توکل دوانی
دکتر شیوا توکل دوانی یکی از متخصصین برجسته ارتودنسی در تهران هستند که در زمینه درمانهای ارتودنسی با تجربه و دانش بالا فعالیت میکنند. ایشان به عنوان یک دکتر متخصص در این حوزه، با بهرهگیری از تکنیکهای نوین و روشهای علمی روز دنیا، به بیماران خود درمانهایی دقیق و شخصیسازیشده ارائه میدهند.
- ارتودنسی ثابت
- ارتودنسی نامرئی
- مشاوره و درمان برای کودکان و نوجوانان
- ارتودنسی برای بزرگسالان
تهران، سرو غربی، مابین چهارراه سرو و میدان کتاب، قبل از خیابان اسمانها، پلاک 129، ساختمان سرو واحد 201
راهنمای انتخاب بهترین دکتر ارتودنسی در شمال تهران
در انتخاب بهترین متخصص ارتودنسی در شمال تهران، نکاتی وجود دارد که بهوسیله آن میتوان نهایت اطمینان را از نتایج درمان داشت و اطمینان به پزشک هم سبب آرامش و رفع نگرانی میشود. با درنظرگرفتن نکات زیر میتوانید انتخاب درستتری داشته باشید:
- بررسی تخصص و مدارک پزشک: اطمینان حاصل کنید که پزشک دارای تخصص ارتودنسی (فلوشیپ یا بورد تخصصی) باشد.
- سابقه کاری و تجربه عملی: پزشکانی با تجربه بیشتر معمولاً، تصمیمات درمانی بهتری اتخاذ میکنند.
- مشاهده نمونه کارها: مشاهده نمونهها از درمانهای پیشین بسیار مهم است.
- امکانات مطب و تجهیزات مدرن
استفاده از تجهیزات بهروز و روشهای نوین درمانی، دقت و کیفیت درمان را بالا میبرد. - ارتباط مؤثر و رفتار حرفهای: پزشک باید صبور، خوشبرخورد و پاسخگو به سوالات مردم باشد.

مراقبت های بعد از ارتودنسی
استفاده منظم از نگهدارنده بسیار توصیه میشود؛ زیرا از حرکت مجدد دندانها به موقعیت قبلی جلوگیری میکند. همچنین فراموش نکنید؛ رعایت دقیق بهداشت دهان و دندان ازآنجهت که پس از ارتودنسی دندانها حساستر شده و احتمال پوسیدگی یا التهاب لثه بیشتر خواهد بود، اهمیت دارد.
عوامل موثر در هزینه بهترین دکتر ارتودنسی در شمال تهران:
| تجربه و شهرت دکتر | دندانپزشکان مشهور و با تجربه دستمزد بیشتری هم دارند. |
| نوع درمان ارتودنسی | روشهای مختلف (براکت فلزی، شفاف، لینگوال و…) هزینه متفاوت دارند. |
| مدت زمان درمان | طول دوره درمان، هزینه افزایش مییابد. |
| موقعیت مطب در شمال تهران | مطبهای در مناطق لوکستر معمولاً گران تر هستند. |
خدمات بهترین دکتر ارتودنسی در شمال تهران
بهترین دکتر ارتودنسی در شمال تهران با ارائه خدماتی مانند ارتودنسی ثابت، متحرک، نامرئی (اینوویزالاین) و سیستم دیمون، به درمان ناهنجاریهای فکی و دندانی در کودکان و بزرگسالان میپردازد. این پزشک با استفاده از تکنولوژیهای روز و اسکن دیجیتال، درمانی دقیقتر و با درد کمتر را فراهم میکند.
همچنین، مشاوره تخصصی پیش از درمان، طراحی برنامه شخصیسازیشده و پیگیری منظم روند درمان از ویژگیهای مهم اوست که موجب رضایت بیشتر بیماران و دستیابی به لبخندی زیبا و پایدار میشود.

جمع بندی
هدف ارتودنسی که پیشتر هم به آن اشاره کردیم، اصلاح نامرتبی دندانها و بهبود هماهنگی آنها است. این درمان نهتنها باعث زیبایی لبخند میشود، بلکه در سلامت دهان و دندان، بهبود جویدن و صحبتکردن، و پیشگیری از مشکلات بعدی دارد. به همین دلیل انتخاب بهترین دکتر ارتودنسی در شمال تهران مهم است.
از اینکه با ما همراه بودید؛ بسیار متشکریم. نظرات، پیشنهادها و سؤالات خود را از طریق وبسایت دندانپزشک با ما در میان بگذارید.
به طور متوسط، طول درمان ارتودنسی بین 6 ماه تا 3 سال متغیر است.
برای ارتودنسی معمولا دوران کودکی و نوجوانی بهترین سن است.
بله، اما این درد معمولا خفیف است و با داروهای مسکن قابل کنترل است.



